
Odontologia Clinica
Como Funciona o Procedimento com Lentes de Resina? Passo a Passo!
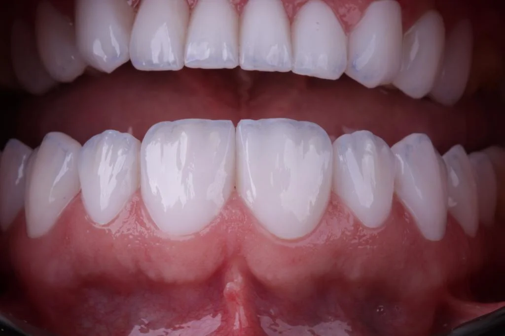
Considere a transformação do seu sorriso com lentes de contato dental, entendendo o processo inovador por trás dessa técnica essencial.

Considere a transformação do seu sorriso com lentes de contato dental, entendendo o processo inovador por trás dessa técnica essencial.

O Poder das Lentes de Contato Dental: Transformando Seu Sorriso Instantaneamente Você já pensou em conquistar um sorriso deslumbrante em

Ao considerar a transformação do sorriso por meio de lentes de contato dental, é natural que surjam perguntas e dúvidas.
EXCELENTE Com base em 17 avaliações Publicado em Bianca BertoliniTrustindex verifica se a fonte original da avaliação é Google. Muito satisfeita desde a primeira que fui na clínica, além de sempre estarem dispostos a organizar horários e agendas conforme necessidade. Indico e frequento há anos. Parabéns a todos!Publicado em Equipe KrawkTrustindex verifica se a fonte original da avaliação é Google. O melhor da região!Publicado em Leandro PinheiroTrustindex verifica se a fonte original da avaliação é Google. Parabéns a todos da Clinica Miarelli. Fiz meu implante com dentes de porcelana com o Dr Ramyres e minhas lentes em resina com o Dr Miarelli e ficaram simplesmente perfeitas. A equipe da clinica é nota 1000 sempre com foco no sucesso do cliente! Super recomendo, pode ir que sua experiência será de altíssimo nívelPublicado em Mary AlvesTrustindex verifica se a fonte original da avaliação é Google. Publicado em love funkTrustindex verifica se a fonte original da avaliação é Google. Muito bom o atendimento ! Super recomendo ❤️❤️❤️Publicado em Joao Petenuci NetoTrustindex verifica se a fonte original da avaliação é Google. Clínica com atendimento de alto nível! Recomendo.Publicado em Sergio CorsiniiTrustindex verifica se a fonte original da avaliação é Google. Recomendo! Serviço de primeiraPublicado em Renato RodriguesTrustindex verifica se a fonte original da avaliação é Google. Excelente clínica, atendimento top de todos os profissionais e o trabalho impecável, fiz minhas lentes em resina com o Dr Miarelli e ficaram perfeitas, o melhor de todos.Publicado em Keu GarciaTrustindex verifica se a fonte original da avaliação é Google. Top excelente ! Super recomendoPublicado em CEsar Henrique Rodrigues NogueiraTrustindex verifica se a fonte original da avaliação é Google. Sou suspeito de falar, mais é sem dúvida o melhor profissional que tive o prazer de conhecer 👏🏻👏🏻👏🏻👏🏻